How to Manage Thin Soles with Pour-In Pad Materials

Proper trimming and awareness of a horse’s sole thickness is vital to maintaining optimal hoof health. Whether a horse is growing back over-trimmed soles, is genetically predisposed, if it’s an older horse or other environmental factors, it’s important that hoof care professionals examine the conditions horses are in because it directly impacts sole health. Similar to a fingernail on a fingertip, soles protect the feet from outside harm, and having thin soles is similar to having thin or even no fingernails, making the feet more vulnerable to injury or blisters on abrasive ground. In order to keep soles in healthy condition, hoof care professionals need to be aware of the conditions the horses are in, as every horse reacts differently to ground conditions. If a horse naturally has thin soles, there are different methods they can apply to help a horse to regain sole thickness depending on its environment.
How to Identify Thin Soles on a Horse
Lameness is a key sign of thin soles. If the condition isn’t diagnosed, horses are often uncomfortable walking around, especially on hard, abrasive surfaces, and some develop sole bruising. When these symptoms are prevalent, it’s important to examine the soles. Are the soles soft and flexible when touched? Has the horse been exposed to changing conditions, such as wet-to-dry?
Symptoms of thin soles can be addressed so the condition can be maintained and corrected. Below are some examples of potential causes:
- Changing Environments: A wet environment weakens the sole, and when the sole is moist, abrasion from rough surfaces wears down the sole quickly.
- Genetic Predisposition: Some horses, like thoroughbreds, have thin soles naturally, so it’s important that hoof care professionals are aware of it and avoid overtrimming during routine visits and shoeing. This is especially crucial for racehorses, because their extremely active lifestyle can cause more wear on their already-thin soles.
- Over Trimming: Hoof care professionals should be aware of whether a horse has thick or thin soles, and what conditions a horse resides in. This helps determine how much to trim and what padding is needed for the horse to remain comfortable and healthy.
- Age: As a horse gets older, especially around the age of eight or nine, hoof growth slows down, and it becomes difficult for the sole thickness to keep up with the wear and tear of ground surfaces.

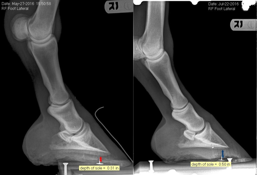
Before and after x-rays of a horse treated with pour-in pads.
Managing Soles
To regain and maintain sole thickness, pour-in pads can be a helpful way to protect the remaining sole that’s left and allow more sole to grow. When the soles are sealed off with pour-in pad material, they have a better chance of retaining thickness and re-growing. Along with allowing a sole to grow back, pour-in pads also act as a “fake sole” for the horse, which prevents abrasive ground surfaces from wearing down a horse’s actual sole. Pour-in pads protect the soles when they wear thin, similar to how a glove could protect the fingers in the absence of fingernails.
Depending on the moisture in a horse’s environment, there are different pour-in pad materials that can be beneficial. One is a fast-setting, soft pour-in pad material because it is soft enough that it will not irritate the sensitive area if the horse is lame. Some soft pour-in pads bond directly to the sole and frog, and improve the depth of the sole. Pads that are infused with copper sulfate can also help minimize the chance of bacteria getting trapped within the hoof, which is common in moist environments. Copper sulfate-infused pads offer extra protection and support during wet seasons, and some also bond to the sole to protect it from abrasion so that soles can continue to regrow. In addition, a pour-in pad that stays bonded to the feet for 2-3 weeks can also be beneficial. Using durable pour-in-pad materials can help prevent sole bruising, and are ideal for active horses, such as ones that participate in endurance events.
Soles protect a horse’s hoof cavities, thus it’s vital they are maintained and examined thoroughly to determine a sole-maintaining regimen. If the soles are not examined, trimmed or maintained properly, it can cause lameness, affecting a horse’s ability to do many daily activities. With consistent, proper trimming and treatment, a horse will maintain healthy sole thickness.
Talk with a farrier or veterinarian about your horse’s soles, and how pour-in pad materials can be a helpful tool for gaining and maintaining sole thickness.
About the Author
Tab Pigg is the Central Regional Sales Manager for Vettec, and oversees states ranging from Canada to Mexico, between the Rockies and the Mississippi River. He travels frequently educating dealers and farriers at hands-on workshops and represents Vettec at tradeshow events. Tab assisted Vettec for three years leading clinics and helping with regional work before joining the company full-time in 2003.
Tab was raised around horses and became genuinely interested in the equine industry in 1982. With the skills he learned through hands-on experience and multiple apprenticeships, Tab started a shoeing practice of his own in 1984. In 1992, Tab successfully took the Certified Journeyman Farrier exam and has been practicing as a farrier ever since. Tab has presented at the International Hoof Care Summit several times, and served as the Marketing Chairman on the Farrier Industry Association (FIA) board of directors for two years. Tab is a spokesperson for Vettec and is published in many equine industry publications.
Outside of work, Tab enjoys fishing and golfing, although the rain and heat in Texas keep him busy mowing his lawn. Tab also enjoys visiting his father nearby to help on their family farm.














